(520) 313-6922
Orthodontics
When it comes to braces, the image that comes to the minds of most people is an awkward teenager walking around with a mouth full of clunky, uncomfortable metal wires and brackets. Fortunately, thanks to one advance after another, today’s braces are anything but clunky and uncomfortable. Whether it’s braces like Invisalign that are virtually invisible or striking gold braces that serve as a statement of one’s style and confidence, it’s clear orthodontics have come a long way over the past century.
Orthodontics
When it comes to braces, the image that comes to the minds of most people is an awkward teenager walking around with a mouth full of clunky, uncomfortable metal wires and brackets. Fortunately, thanks to one advance after another, today’s braces are anything but clunky and uncomfortable. Whether it’s braces like Invisalign that are virtually invisible or striking gold braces that serve as a statement of one’s style and confidence, it’s clear orthodontics have come a long way over the past century.
Braces
Braces are good for:
- Crooked Teeth
- Aligning upper and lower jaws
- Improving aesthetics of smile and face
- Relieving pressure on temporomandibular joints
Braces
Braces are good for:
- Crooked Teeth
- Aligning upper and lower jaws
- Improving aesthetics of smile and face
- Relieving pressure on temporomandibular joints
Our Types Of Braces
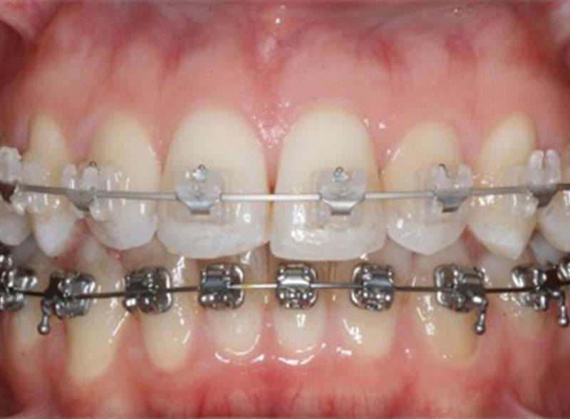
Metal Braces
Metal braces are the most common type. They are made of high-grade stainless steel. Today’s metal braces are smaller, more comfortable and more attractive.
Metal Braces
Metal braces are the most common type. They are made of high-grade stainless steel. Today’s metal braces are smaller, more comfortable and more attractive.
Ceramic Braces
Ceramic braces are made of translucent (clear) material. They are most popular with adult patients, due to their cosmetic appeal. The only drawback to ceramic brackets are that they are more fragile, and the elastic ties can discolor between orthodontic visits.
Ceramic Braces
Ceramic braces are made of translucent (clear) material. They are most popular with adult patients, due to their cosmetic appeal. The only drawback to ceramic brackets are that they are more fragile, and the elastic ties can discolor between orthodontic visits.
Invisalign Braces
Invisalign is a series of custom-made clear braces that cover your teeth and gently pull them into the proper position over time. Because they are clear and can be taken on and off, they are less noticeable than traditional metal braces.
Invisalign Braces
Invisalign is a series of custom-made clear braces that cover your teeth and gently pull them into the proper position over time. Because they are clear and can be taken on and off, they are less noticeable than traditional metal braces.
What Is The Process?
What Is The Process?
1. We start with a comprehensive Orthodontic Study
2. Analysis and Facially-driven aesthetic planning
1. We start with a comprehensive Orthodontic Study
2. Analysis and Facially-driven aesthetic planning
3. Place Top Braces
4. Place Bottom Braces
3. Place Top Braces
4. Place Bottom Braces
5. Adjustments every 1 - 3 months
6. Retainers
5. Adjustments every 1 - 3 months
6. Retainers
Our Care
Personal Care To Fit Your Needs
While many patients welcome braces as a way to make their teeth straight and beautiful, they naturally want the treatment to go as quickly as possible. This is yet another advantage of today’s orthodontic innovations, since many of the materials used today result in far less mouth irritation and soreness. In years past, this resulted in prolonged treatment plans, forcing patients to endure additional discomfort. However, by focusing instead on patient comfort, modern orthodontics can be a much quicker process.
Our Care
Personal Care To Fit Your Needs
While many patients welcome braces as a way to make their teeth straight and beautiful, they naturally want the treatment to go as quickly as possible. This is yet another advantage of today’s orthodontic innovations, since many of the materials used today result in far less mouth irritation and soreness. In years past, this resulted in prolonged treatment plans, forcing patients to endure additional discomfort. However, by focusing instead on patient comfort, modern orthodontics can be a much quicker process.